Aiuto concreto e consigli pratici per la professione medica
Il cardiologo Dott. Alessandro Vairo ci spiega quali sono le applicazioni pratiche dell'ecografia 3D per lo studio della valvola tricuspide
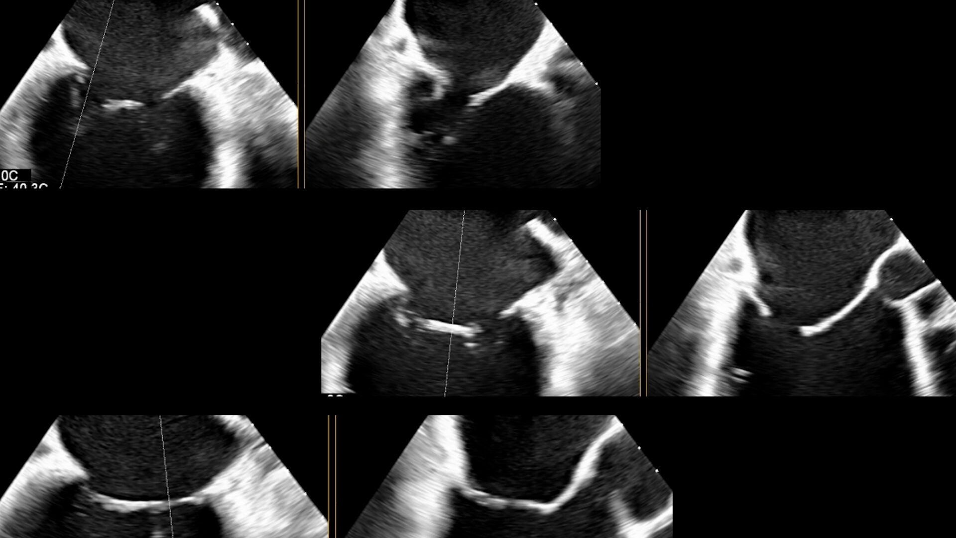
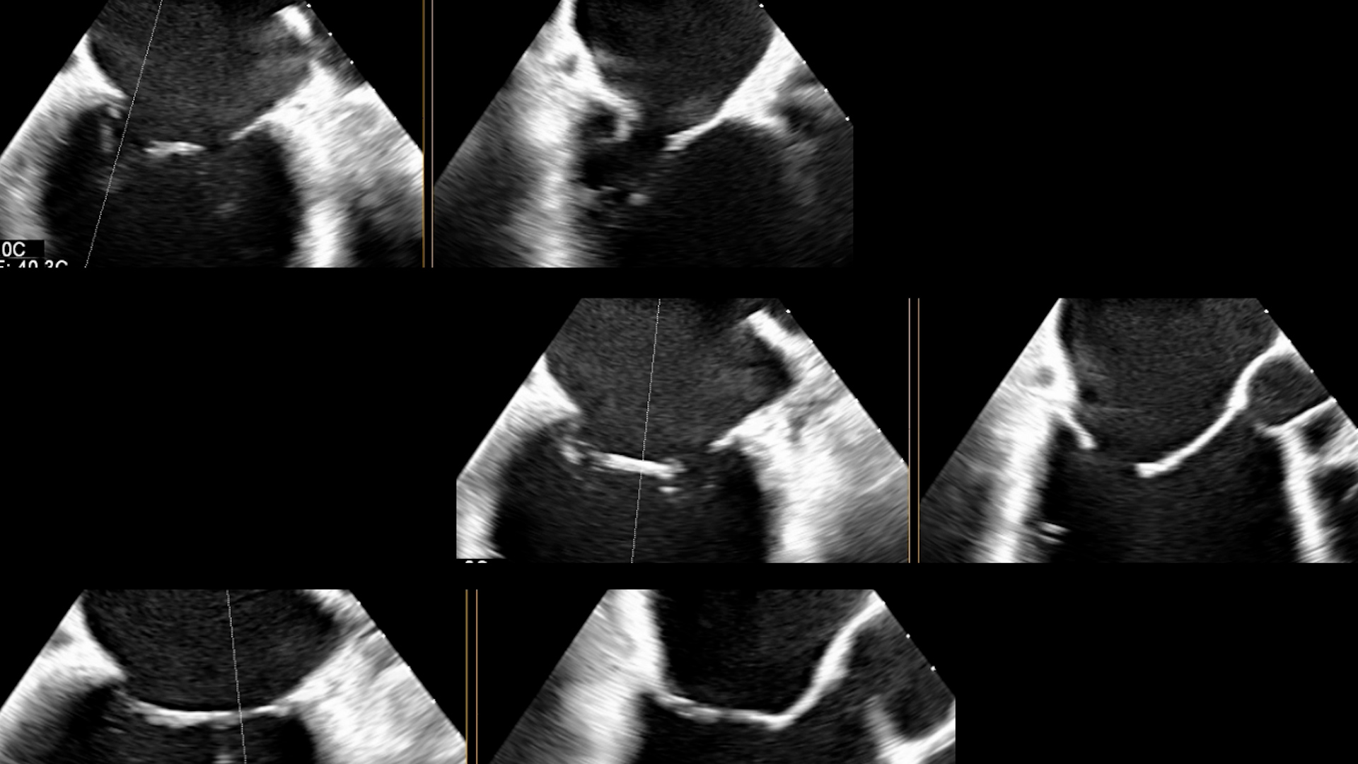
Il cardiologo Dott. Alessandro Vairo ci spiega quali sono le applicazioni pratiche dell'ecografia 3D per lo studio della valvola mitrale
Il cardiologo Dott. Alessandro Vairo ci spiega quali sono le applicazioni pratiche dell'ecografia 3D per lo studio delle valvole cardiache e l'assistenza agli interventi a
Questa scheda ha lo scopo di offrire solo uno strumento pratico e agile di “primo approccio”; per una conoscenza più approfondita si rimanda il lettore
Il cardiologo Dott. Alessandro Vairo ci spiega quali sono le applicazioni pratiche dell'ecografia 3D per
Il cardiologo Dott. Alessandro Vairo ci spiega quali sono le applicazioni pratiche dell'ecografia 3D per
Il cardiologo Dott. Alessandro Vairo ci spiega quali sono le applicazioni pratiche dell'ecografia 3D per
Questa scheda ha lo scopo di offrire solo uno strumento pratico e agile di “primo
Il Dott. Giuseppe Misiano, Medico di Medicina Generale di Torino, ci spiega come e quando
Questo articolo ripercorre i passaggi fondamentali per l’acquisizione di un numero di partita IVA, “biglietto
Qual è il percorso diagnostico che può guidare verso la corretta diagnosi? Mettiti alla prova con i casi clinici interattivi.
Raccolta di raccomandazioni e protocolli aggiornati: risorse essenziali per garantire pratiche cliniche basate su evidenze e standard di qualità elevati.
Raccolta di raccomandazioni e protocolli aggiornati: risorse essenziali per garantire pratiche cliniche basate su evidenze e standard di qualità elevati.
Strategie e risorse per migliorare la comunicazione e la fiducia: approfondimenti su come costruire relazioni efficaci per una cura centrata sul paziente.
Strategie e risorse per migliorare la comunicazione e la fiducia: approfondimenti su come costruire relazioni efficaci per una cura centrata sul paziente.
Approfondimenti su tecniche di esame e diagnosi: risorse pratiche per ottimizzare la valutazione clinica e migliorare l’accuratezza diagnostica.
Approfondimenti su tecniche di esame e diagnosi: risorse pratiche per ottimizzare la valutazione clinica e migliorare l’accuratezza diagnostica.
Il cardiologo Dott. Alessandro Vairo ci spiega quali sono le applicazioni pratiche dell'ecografia 3D
Il cardiologo Dott. Alessandro Vairo ci spiega quali sono le applicazioni pratiche dell'ecografia 3D
Il cardiologo Dott. Alessandro Vairo ci spiega quali sono le applicazioni pratiche dell'ecografia 3D
Questa scheda ha lo scopo di offrire solo uno strumento pratico e agile di
Un kit digitale per i nuovi laureati in medicina, con dentro gli «attrezzi» del mestiere essenziali, utili per iniziare al meglio il percorso professionale.
Un kit digitale per i nuovi laureati in medicina, con dentro gli «attrezzi» del mestiere essenziali, utili per iniziare al meglio il percorso professionale.
Il cardiologo Dott. Alessandro Vairo ci spiega quali sono le applicazioni pratiche dell'ecografia 3D per
Il cardiologo Dott. Alessandro Vairo ci spiega quali sono le applicazioni pratiche dell'ecografia 3D per
Il cardiologo Dott. Alessandro Vairo ci spiega quali sono le applicazioni pratiche dell'ecografia 3D per
Questa scheda ha lo scopo di offrire solo uno strumento pratico e agile di “primo
Il Dott. Giuseppe Misiano, Medico di Medicina Generale di Torino, ci spiega come e quando
Questo articolo ripercorre i passaggi fondamentali per l’acquisizione di un numero di partita IVA, “biglietto